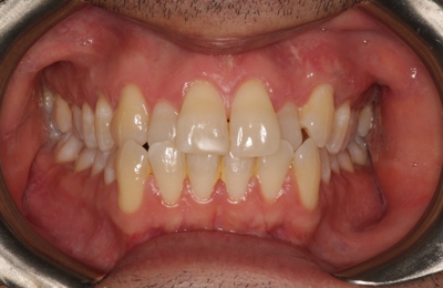
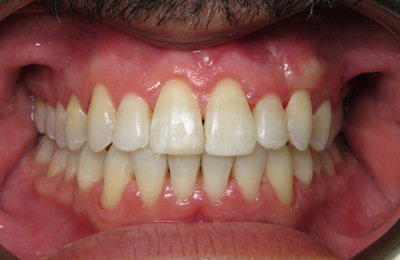
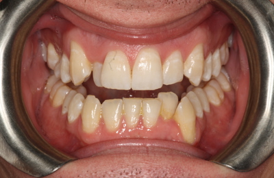
Interest Free Dental Options
Want to enjoy a fresh smile now without the upfront cost? At Maven Dental, we offer a range of flexible payment options to make your new smile a little easier on your wallet.
With payment partners such as Humm, Zip and Afterpay, you can smile now and pay later with no interest- ever! Big treatments and little treatments are all available through our payment partners with up to 24 months interest-free.
Smile now, pay later.
