Gympie | QLD

Channon Lawrence Dental, Gympie

Open Monday 8:30AM to 6:00PM
90 Channon Street, Gympie, QLD, 4570
Get directions
07 5482 7688

About Us

Dentist Gympie

Located in the heart of Gympie, the dentists at Channon Lawrence Dental are committed to providing you with clinical excellence and invaluable convenience. Offering a comprehensive range of services and treatments your friendly dentists in Gympie strive to ensure you and your family achieve lifelong oral health through a holistic approach.

With over 40 years of experience within the dental industry, lead dentist, Dr Mark Cull, is a highly credible and knowledgeable clinician. Dr Mark Cull has over 16 years’ experience in performing dental implants and 11 years’ experience in treating patients with crooked teeth using metal braces and Invisalign

Your oral health team at Channon Lawrence offer high-quality dental treatments including teeth straighteningdental implantsteeth whitening and all general dental treatments. These clinicians are experienced with dental trauma and offer emergency dental appointments to patients that require emergency treatment. 

At Channon Lawrence Dental, we pride ourselves on being a family-based clinic who wish to see you for generations to come. Visit Channon Lawrence Dental, home to your local dentists in Gympie. 

Dr Mark Cull is also available for dental implant treatment on the Sunshine Coast at Maven Dental Sippy Downs.

Read more

Address

90 Channon Street, Gympie, QLD, 4570

Parking

Free street parking available. 

Preferred provider for

Logo Healthfund Bupa Members First
Logo Healthfund Bupa Platinum
Logo Healthfund Defence Health Fund
Logo Healthfund Hcf
Logo Healthfund Nib
Logo Healthfund Tuh Health Fund

Offers and Services

Child Dental Benefits Schedule

Child Dental Benefits Schedule

Your child may be eligible for up to $1,132 in basic dental services under the Child Dental Benefits Schedule in Medicare.

Find out more...
Free Invisalign Consult

Free Invisalign Consult

Book a Free, no-obligation Invisalign consultation with our team today!

Book Now
Seniors Discount

Seniors Discount

At Maven Dental Practices across Australia, Senior discounts may be offered to those that hold a Seniors Health Care Card.  This is the choice of each individual Maven Dental practice as to what they offer. 

Find out more...
Free Dental Implant Consultation

Free Dental Implant Consultation

Take the first step to restoring a natural look and feel to your smile with a Free Dental Implant Consultation.

Book Now
We Offer Afterpay

We Offer Afterpay

At participating Maven Dental clinics, you can have your treatment now and split the payments into 4 interest-free instalments over 6 weeks.

Find out more...
Defence Health Preferred Provider

Defence Health Preferred Provider

All Defence Health members with extras cover can now enjoy the professional care provided by their local clinic.

Find out more...
$249 New Patient Offer

$249 New Patient Offer

Been a while since your last dentist visit? With our $249 Check, clean & X-Rays for new patients, we've made it affordable for you to see a dentist – it’s your very first step to a better smile. Available for a limited time at participating practice. Find out more. 

Find out more...

Payment Options

Enjoy your smile now - Pay it in 4 with Afterpay.

Afterpay allows you to enjoy your smile now and pay for it in four instalments. With Afterpay you can spread out the cost of your treatment with no fees if you pay on time. 

You are welcome to settle your account using cash at our practice. Please note: no cash is left on premises overnight. 

You are welcome to settle your account with Cheque at this practice. Please discuss this payment option with our reception team to find out more information. 

All of our practices accept all major credit and debit cards, including Visa and MasterCard. Some of our practices also accept American Express and Diners Club. Simply confirm when you book an appointment if you would like to pay using either American Express or Diners Club. 

You are welcome to settle your account with Direct Deposit at this practice. Please discuss this payment option with our reception team to find out more information. 

HICAPS is Australia's leading electronic claims and payments system for health service providers. Here at Maven Dental, our practices offer HICAPS facilities to allow patients the ease and convenience of processing their claims on the spot at our practices. This service is an easy and efficient payment processing solution for health funds, Medicare and WorkSafe payments.

Many of our Maven Dental practices accept Department of Veterans' Affairs, whose mission is to support those who have served in the defence of our nation and commemorate their service and sacrifice. Department of Veterans' Affairs supports veterans, war widows/widowers, eligible defence and police force members, and their dependants and carers, with commemoration, compensation, health care, and income support.

REAL PEOPLE, REAL CASES

The outcomes shown are only relevant to the respective patient and do not necessarily reflect the results of other patients. Results vary due to many factors (e.g. genetics, lifestyle); speak to your clinician for more information.

hide results

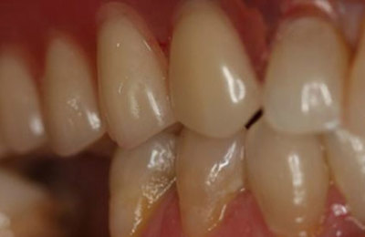
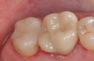
Gympie dental crown treatment before Gympie dental crown treatment after
Crowns
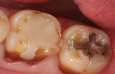
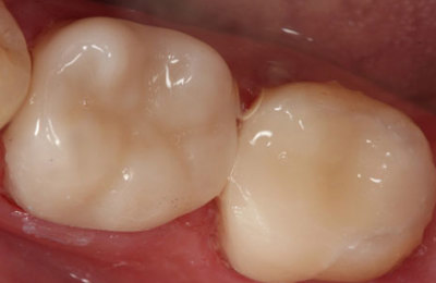
Gympie Dentist Amalgam Removal Before Gympie Dentist Amalgam Removal After
Amalgam Removal
Before Gympie Dental Dentures After Channon Lawrence Dental Dentures
Dentures

News & Article

Community | 14 February, 2019

Taking The Plunge

Imagine moving from the UK to Queensland, to continue making smiles as a dentist. “Dentistry in Australia, particularly with Maven, is centred on the patient experience.”

Read more...
In the Chair | 19 March, 2018

In The Chair with Dr Mark Cull

We caught up with Dr Mark Cull from Channon Lawrence Dental in Gympie to find out more about him and this restoration methods.

Read more...
In the Chair | 19 April, 2018

In The Chair with Dr Branka Starcevic

We caught up with Dr Branka Starcevic, in the chair to discuss her approach to dentistry and Channon Lawrence Dental. 

Read more...